Skip to main content
Resin Composite Fillings | Tijuana

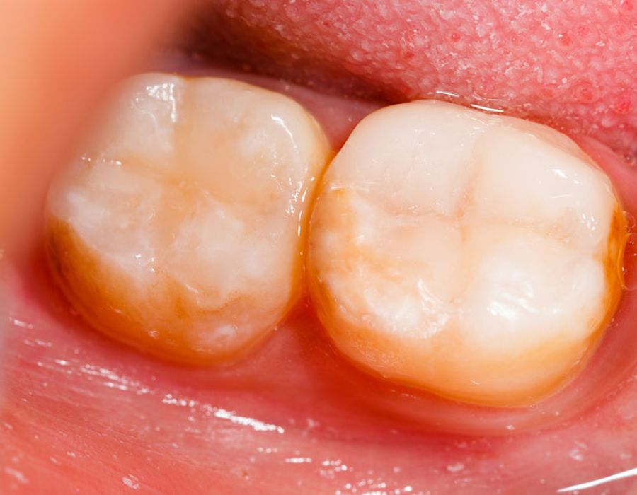
Resin Composite Fillings

Composite fillings are now one of the elements most commonly used in dentistry for aesthetic reconstructions.

Resin Composite Fillings | Tijuana

Composite filling is widely used in anterior and posterior teeth, broken teeth or with cavities.

Resin is a huge advance in dentistry it provides hardness and strength plus it has a favorable behavior and similar elasticity, high wear resistance and a color very similar to the natural tooth.

Resin Composite Fillings | Tijuana

Some of their advantages are as follow:

  • Preserves healthy tissue.

  • It gives an impeccable appearance and can match the color of your teeth.

  • Reinforce dental structure.

  • They give a good balance of strength to chew.

Nowadays it is one of the most advanced procedure and it has been improved with new techniques, the progress and advancement made in the composition of the resins to this day, resin restoration is one of the safest options.

Get your natural smile back

If you need any dental restoration work this is a modern and safe option, call today and make an appointment, smile in a healthy and more beautiful way.

If you want more information, fill in this form. We will get back to you as soon as possible.

Logo Dra Claudia Rojas | General & Cosmetic Dentistry

Plaza Pacífico Building
10122 José Clemente Orozco
3rd Floor, Office 310
Zona Río, Tijuana

Hours

  • Mo - Fr

    9 am - 6 pm

  • Sat

    9 am - 3 pm

  • Sun

    CLOSED

© All rights reserved.
 Powered by Strategus Marketing | Expertos en Resultados.